
欧洲杯体育病因很可能与她近期恒久搏斗的某类物资相关-尊龙凯时人生就是博·「中国」官方网站
资讯习作
近日 浙江杭州22岁的主播小江(假名) 因为需要万古分直播带货 保合手风雅合手久的妆容 故每天两次使用定妆喷雾 在坚合手了近半年后 居然因此住进了病院 22岁主播天天喷定妆喷雾疼痛患肺炎 据先容,小江就诊时高烧朝上40℃,血惯例查验走漏白细胞、中性粒细胞、CRP(C-反映卵白)均昭彰升高,嗜酸性粒细胞也显贵偏高。 胸部CT进一步走漏,她的双肺出现多发斑片状恶浊影,被会诊为间质性肺炎。大夫判断,病因很可能与她近期恒久搏斗的某类物资相关。经过反复精细地揣测病史,小江才说出我方恒久、平时使用定妆喷雾
详情

近日
浙江杭州22岁的主播小江(假名)
因为需要万古分直播带货
保合手风雅合手久的妆容
故每天两次使用定妆喷雾
在坚合手了近半年后
居然因此住进了病院
22岁主播天天喷定妆喷雾疼痛患肺炎
据先容,小江就诊时高烧朝上40℃,血惯例查验走漏白细胞、中性粒细胞、CRP(C-反映卵白)均昭彰升高,嗜酸性粒细胞也显贵偏高。
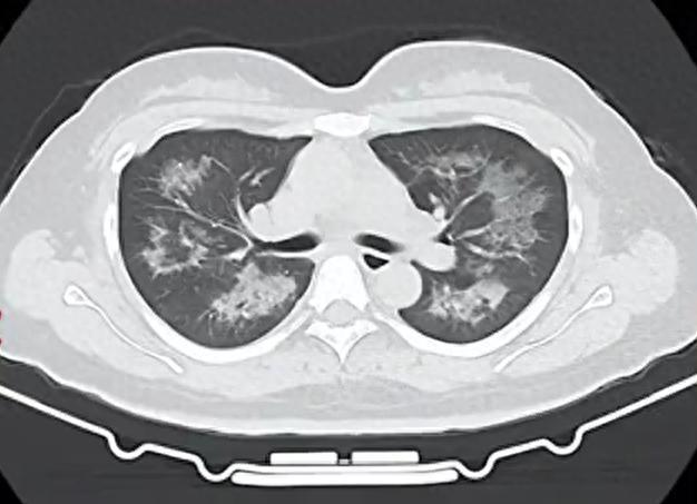
胸部CT进一步走漏,她的双肺出现多发斑片状恶浊影,被会诊为间质性肺炎。大夫判断,病因很可能与她近期恒久搏斗的某类物资相关。经过反复精细地揣测病史,小江才说出我方恒久、平时使用定妆喷雾的民风。

蒸发性化学身分可能诱发不良反映
大夫辅导,定妆喷雾中含有大王人蒸发性化学身分,这些物资被吸入后可凯旋作用于肺部细胞,酿成细胞毁伤。
临床上,轻症患者可能只出现咳嗽、咳痰、喘气等症状;若易感东谈主群短期内大王人吸入这类致敏性物资,就可能诱发过敏性肺炎,严重时致使发展为呼吸清寒,必须高度喜爱。
小江所患的恰是这种疾病。幸而在收受调和三天后,小江的血惯例目标复原正常,肺部炎症也快速招揽。
相关话题速即登上微博热搜
激勉网友热议
不少网友感到发怵
我方等闲也灵验喷雾的民风
有网友暗示我方亦然
因为使用喷雾导致肺部出现问题
有网友暗示
每次使用喷雾王人会憋气
其实,不啻定妆喷雾,大夫辅导:杀虫剂、空气簇新剂等千般化学喷雾制剂,使用时王人可能让东谈主体失慎吸入含蒸发性有机物。
自身患有慢性荨麻疹、过敏性鼻炎等过敏性基础病的东谈主群,应尽量幸免使用化学喷雾类家具。在使用历程中的皮肤黏膜搏斗、微粒吸入肺部,王人可能激勉严重过敏反映,致使导致呼吸发愤、危及生命。
淌若如实需要使用喷雾类家具
大家提倡
⬇️⬇️⬇️
尽量在开朗、透风风雅的环境操作;
幸免对脸直喷,可先喷在好意思妆蛋或刷具上再上脸;
气雾瓶应隔离热源,幸免摔打碰撞;
使用后如出现合手续咳嗽、胸闷、发烧等不适欧洲杯体育,应实时就医并见知大夫近期喷雾搏斗史。
